Finance
Infectious Disease
Machine Learning
Deep Learning
About
Getting Started with Deep Learning
GPU Box Build
Assembling a Custom Computer for Deep Learning
Medical Image Classification
Convolutional Neural Networks
with
Fastai
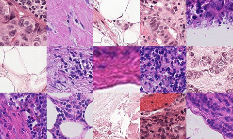
Histopathologic Cancer Detection
Skin Cancer MNIST: HAM10000
Classification
Class Activated Map